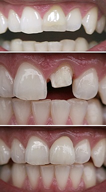
Minimalinvasives Nonpräpveneer
Einzelkrone Metallkeramik mit Keramikschulter
auf Nichtedelmetall und prominentem Stumpf,
auch das ist ästhetisch zu lösen.
Einige Bildimpressionen von
ästhetisch anspruchsvollen Lösungen.
Minimalinvasives Nonpräpveneer
Einzelkrone Metallkeramik mit Keramikschulter
auf Nichtedelmetall und prominentem Stumpf,
auch das ist ästhetisch zu lösen.
Einige Bildimpressionen von
ästhetisch anspruchsvollen Lösungen.